Pàgines
Pàgina d'inici
Kioskomed
CAP WEB Formació
L´Escriptori Clínic
La Consulta Web
Breu descripció
Vols informació?
El Metacercador d´Informació Sanitària
El Metabuscador
Loading
dilluns, 4 d’abril del 2016
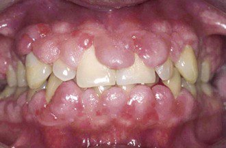
Efectes secundaris de la ciclosporina
La Ciclosporina utilitzada com a tractament inmunosupresor (↓ IL-2), pot provocar Hiperplàsia Gingival.
Cap comentari:
Publica un comentari a l'entrada
Entrada més recent
Entrada més antiga
Inici
Subscriure's a:
Comentaris del missatge (Atom)
Cap comentari:
Publica un comentari a l'entrada