Pàgines
Pàgina d'inici
Kioskomed
CAP WEB Formació
L´Escriptori Clínic
La Consulta Web
Breu descripció
Vols informació?
El Metacercador d´Informació Sanitària
El Metabuscador
Loading
dilluns, 4 de juliol del 2016
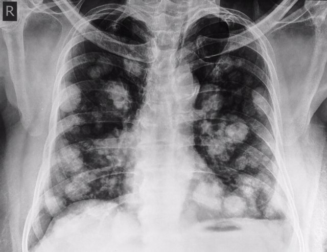
El signe radiogràfic: "bales de canó"
Metàstasi a pulmon. És clàssic veure el signe com a "bales de canó". Càncer de mama i còlon els mes freqüents.
Cap comentari:
Publica un comentari a l'entrada
Entrada més recent
Entrada més antiga
Inici
Subscriure's a:
Comentaris del missatge (Atom)
Cap comentari:
Publica un comentari a l'entrada